- 20.Skin
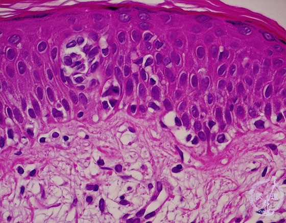
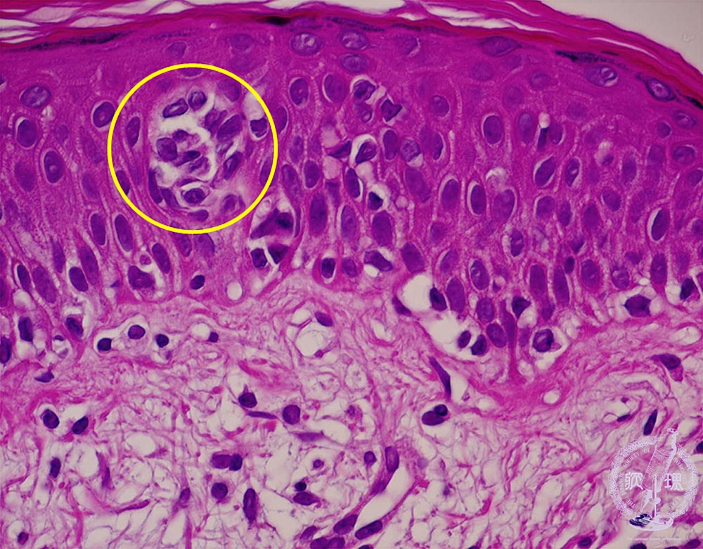
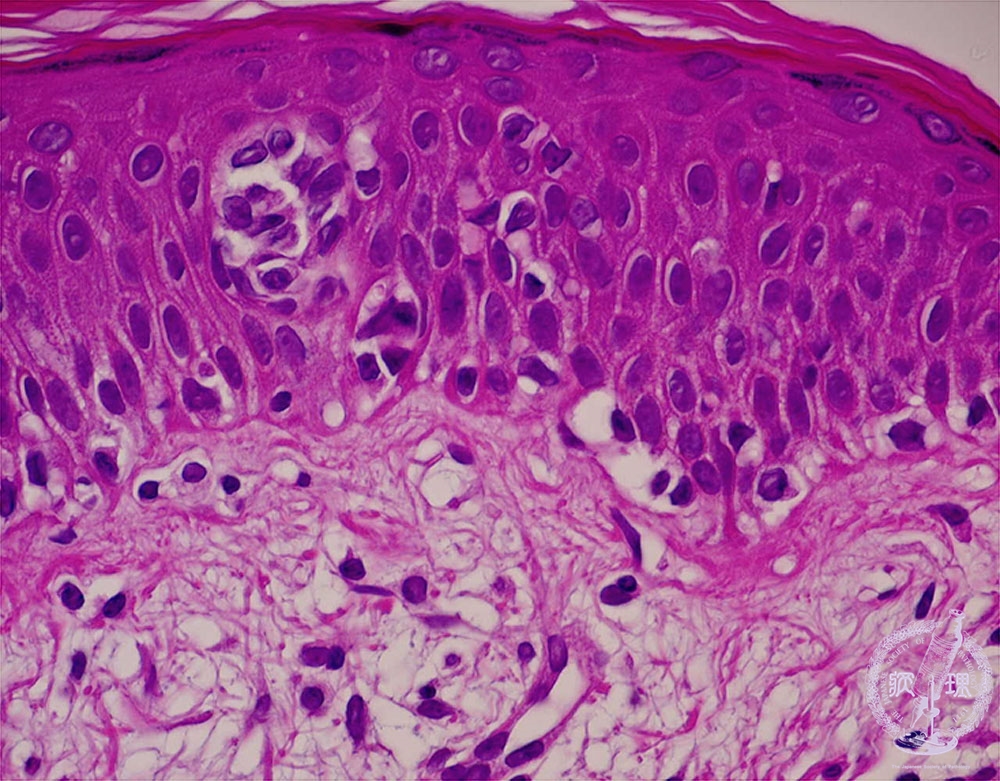
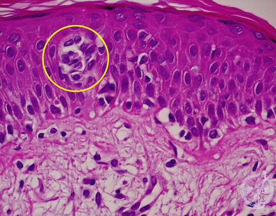
- (11)Malignant lymphoma of the skin (Mycosis fungoides)
Atypical lymphocytes infiltrate the epidermis with a microabscess (inside a circle).
Click the image to see the enlarged image.
Atypical lymphocytes infiltrate the epidermis with a microabscess (inside a circle).
Click the image to see the enlarged image.