- 21.Sensory organs
- (1)cholesteatoma, otitis media
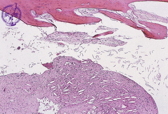
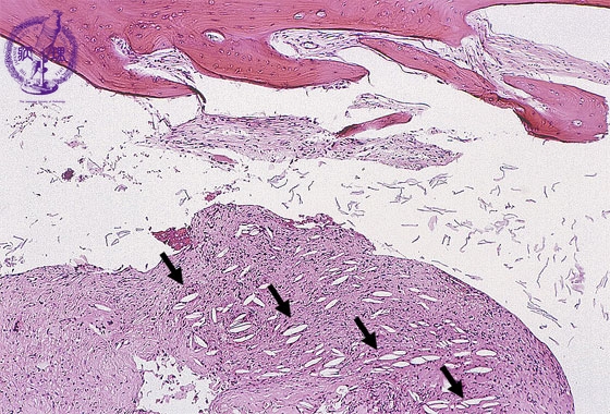
Bone fragments and fibrous granulation tissues are seen. Cholesterol clefts are also seen in the granulation tissue (arrow).
Click the image to see the enlarged image.
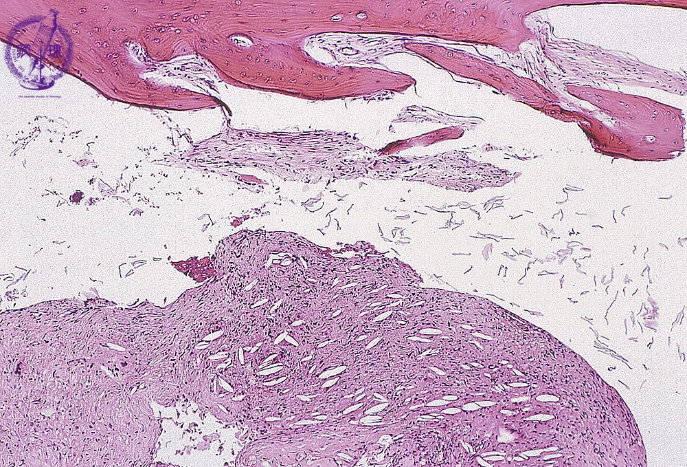
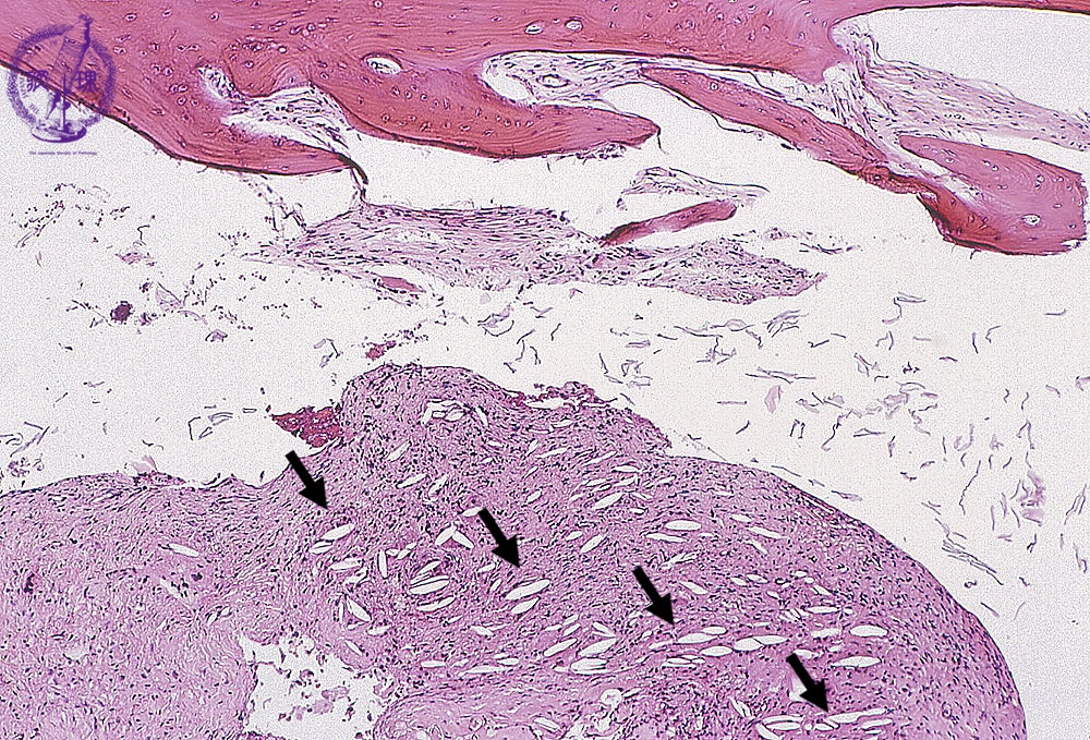
Bone fragments and fibrous granulation tissues are seen. Cholesterol clefts are also seen in the granulation tissue (arrow).
Click the image to see the enlarged image.