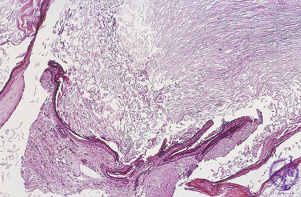
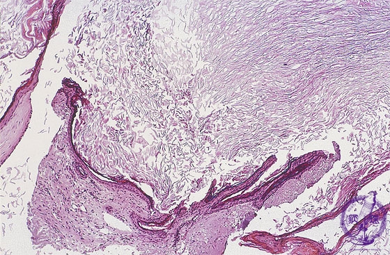
Fragments of keratinizing stratified squamous epithelium are characteristic of cholesteatomas.

Click the image to see the enlarged image.

  • There is no guidance by arrows.