- 22.Pediatric pathology
- (5)Meckel diverticulum
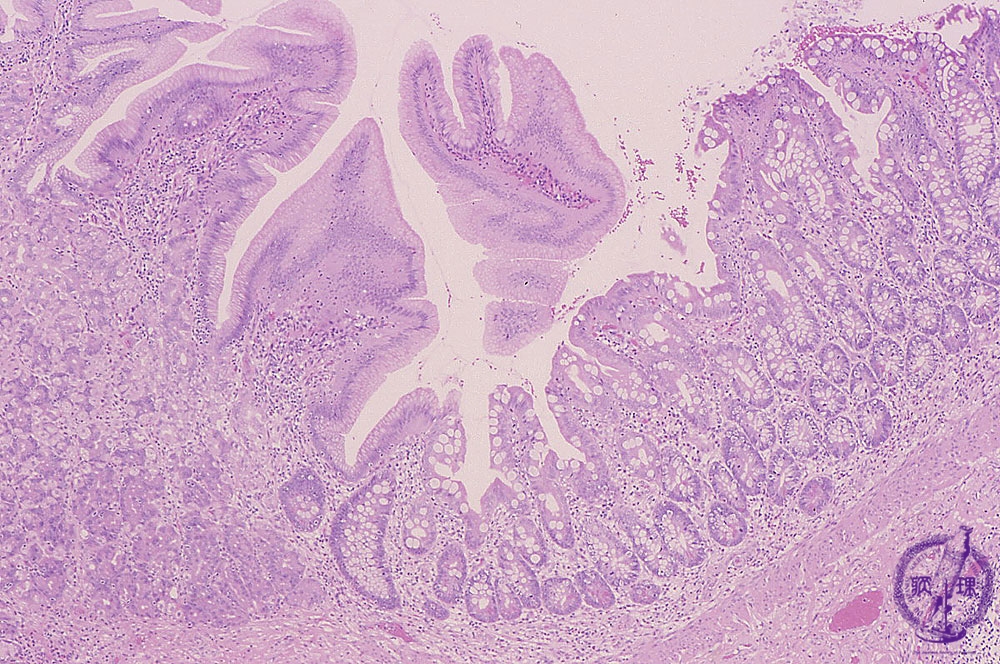
Microscopic view, low power; The inner lumen of the diverticulum. The diverticulum was lined by mucosa resembling that in the ileum and the stomach.
Click the image to see the enlarged image.
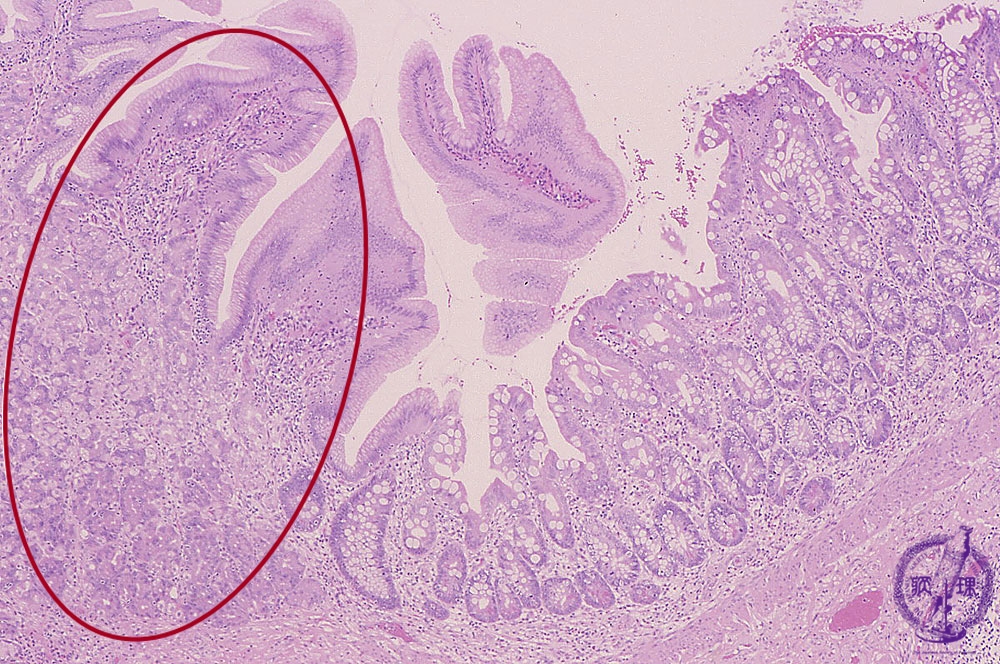
Microscopic view, low power; The inner lumen of the diverticulum. The diverticulum was lined by mucosa resembling that in the ileum and the stomach.
Click the image to see the enlarged image.