- 22.Pediatric pathology
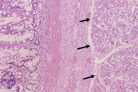
- (5)Meckel diverticulum
Microscopic view, high power; The inner lining is covered by mucosa resembling that of the small intestine with pancreatic tissue is present in the wall (arrow)
Click the image to see the enlarged image.
Microscopic view, high power; The inner lining is covered by mucosa resembling that of the small intestine with pancreatic tissue is present in the wall (arrow)
Click the image to see the enlarged image.