- 22.Pediatric pathology
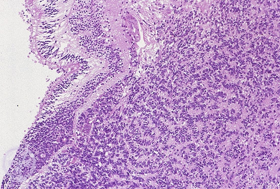
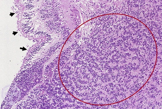
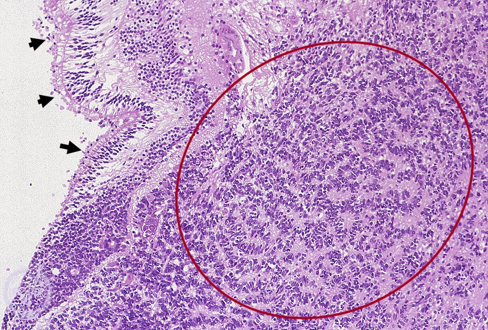
- ★(10)Retinoblastoma
Microscopic view (H&E, low power) A white mass arises from the retina (arrows), was composed of hyperchromatic small round cells with high N/C ratio (Circle). Flexner-Wintersteiner Rosettes are seen.
Click the image to see the enlarged image.














