- 22.Pediatric pathology
- ★(10)Retinoblastoma
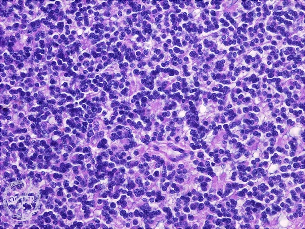
Microscopic view (H&E, high power) Flexner-Wintersteiner rosettes have a lumen with a hypereosinophilic border and are a prominent histological feature.
Click the image to see the enlarged image.
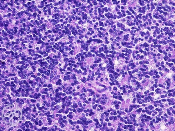
Microscopic view (H&E, high power) Flexner-Wintersteiner rosettes have a lumen with a hypereosinophilic border and are a prominent histological feature.
Click the image to see the enlarged image.