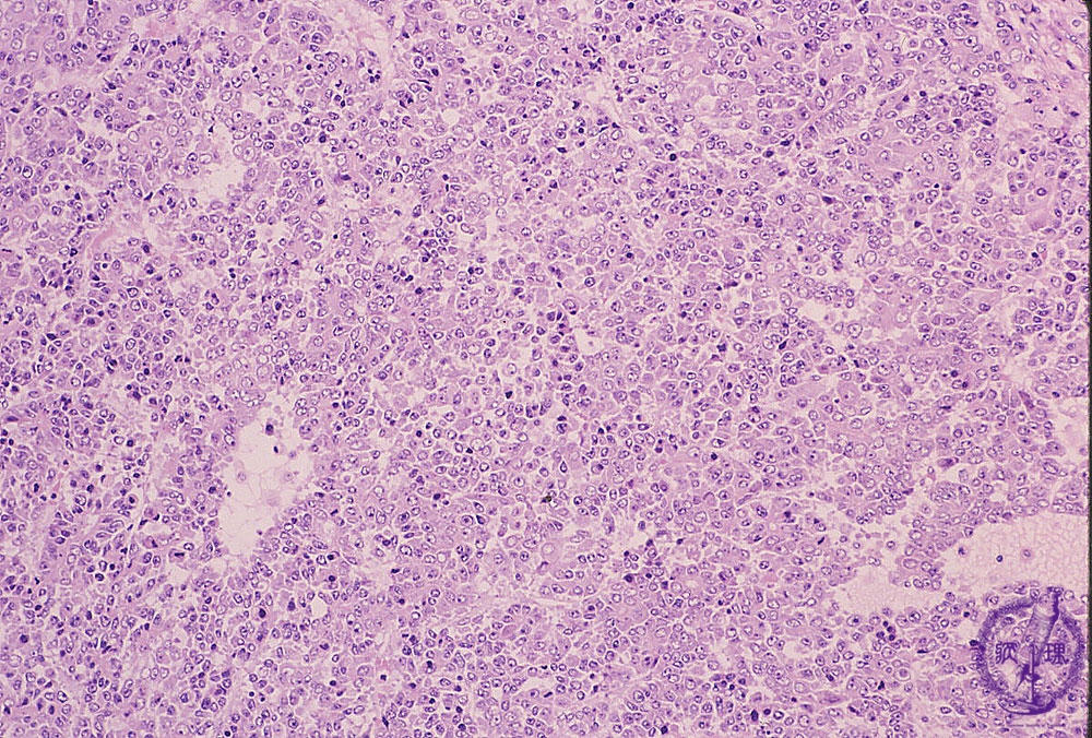
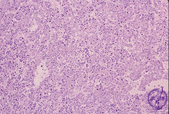
Microscopic view H&E; The tumor composed of hyperchromatic, round nuclei with large nucleoli, and high N/C ratio (poorly differentiated/ embryonal type). It showed a trabecular pattern. There are many examples of mitosis and karyorrhexis.

Click the image to see the enlarged image.

  • There is no guidance by arrows.