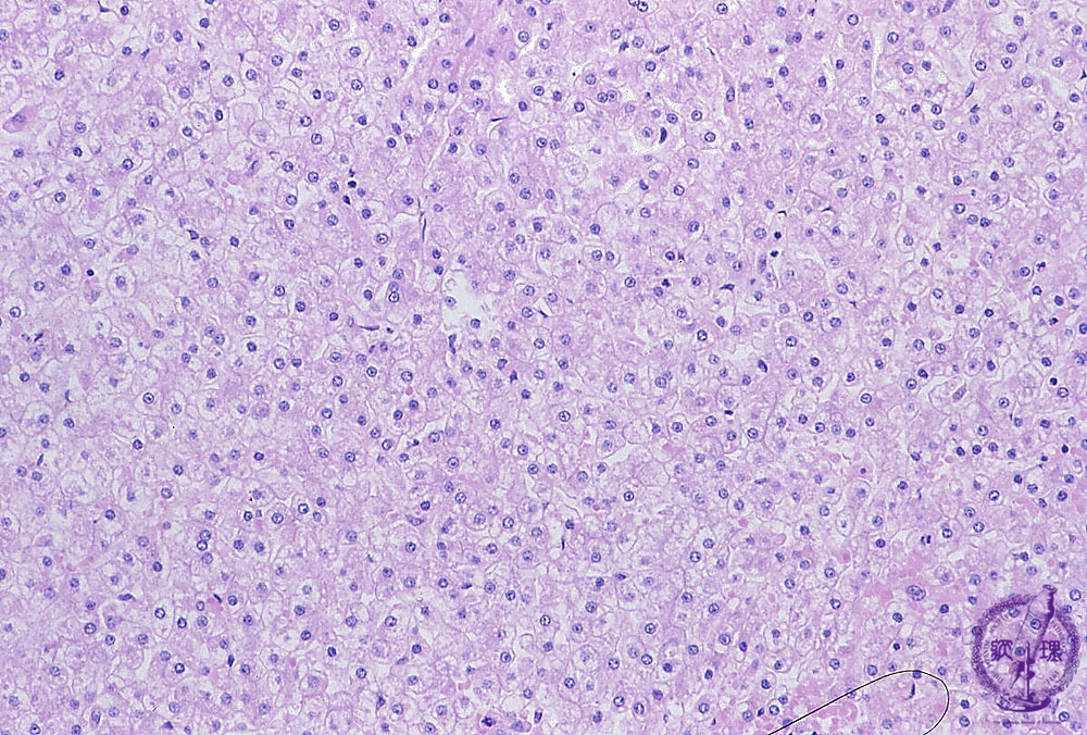
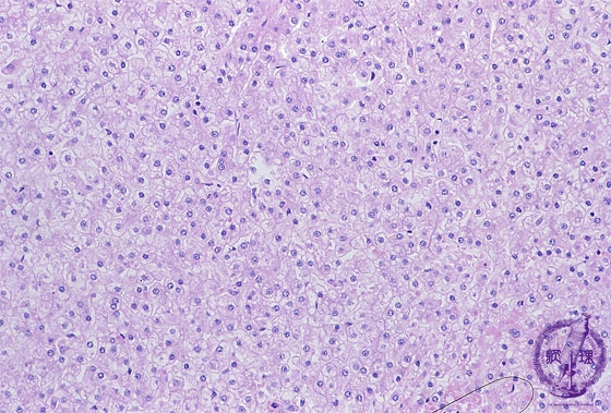
The tumor showed relatively lower N/C ratio, resembling hepatocyte of fetus. (well differentiated, fetal type)

Click the image to see the enlarged image.

  • There is no guidance by arrows.