- 22.Pediatric pathology
- (14)Medulloblastoma
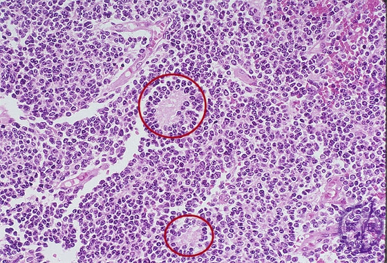
Micro H&E; The tumor occurs predominantly in children and exclusively in the cerebellum. It shows extremely cellularity, with sheets of anaplastic cells. Individual tumor cells are small, with scant cytoplasm and hyperchromatic nuclei that are frequently elongated of crescent shaped. Homer Wright rosettes, the tumor cells are concentrically arranged about a central space filled with neuropil are marked with a circle and are commonly seen.
Click the image to see the enlarged image.












