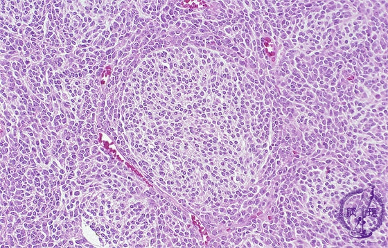
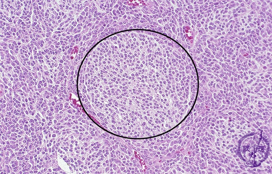
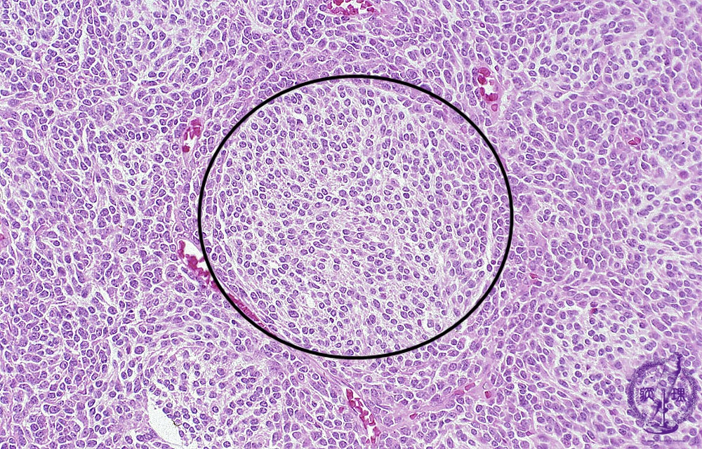
- 22.Pediatric pathology
- (14)Medulloblastoma
Micro H&E; The nodular desmoplastic variant. The tumor composed of areas of stromal response, pale islands, and surrounded by areas of high cellularity (dark area).
Click the image to see the enlarged image.












