- 23.Cytology
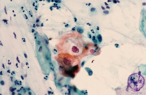
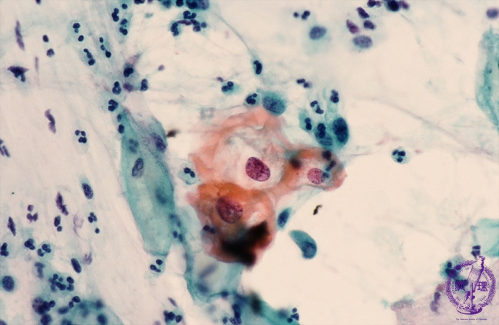
- (2)Vaginal smear cytology(mild dysplasia)
Mild dysplasia, CIN1, LSIL(Papanicolaou staining, high magnification). In normal women of childbearing age, the superficial cells are usually eosinophilic and show small condensed nuclei. The orange cells, stained by orange G, have large cytoplasm with discorded enlarged nuclei.The cells showed perinuclear clear zones or halos (koilocytosis).Koilocytosis are a pathognomonic feature of Human papilloma virus infection.
Click the image to see the enlarged image.










