- 23.Cytology
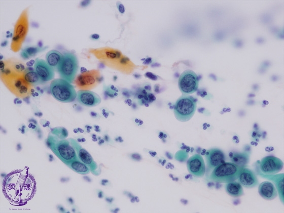
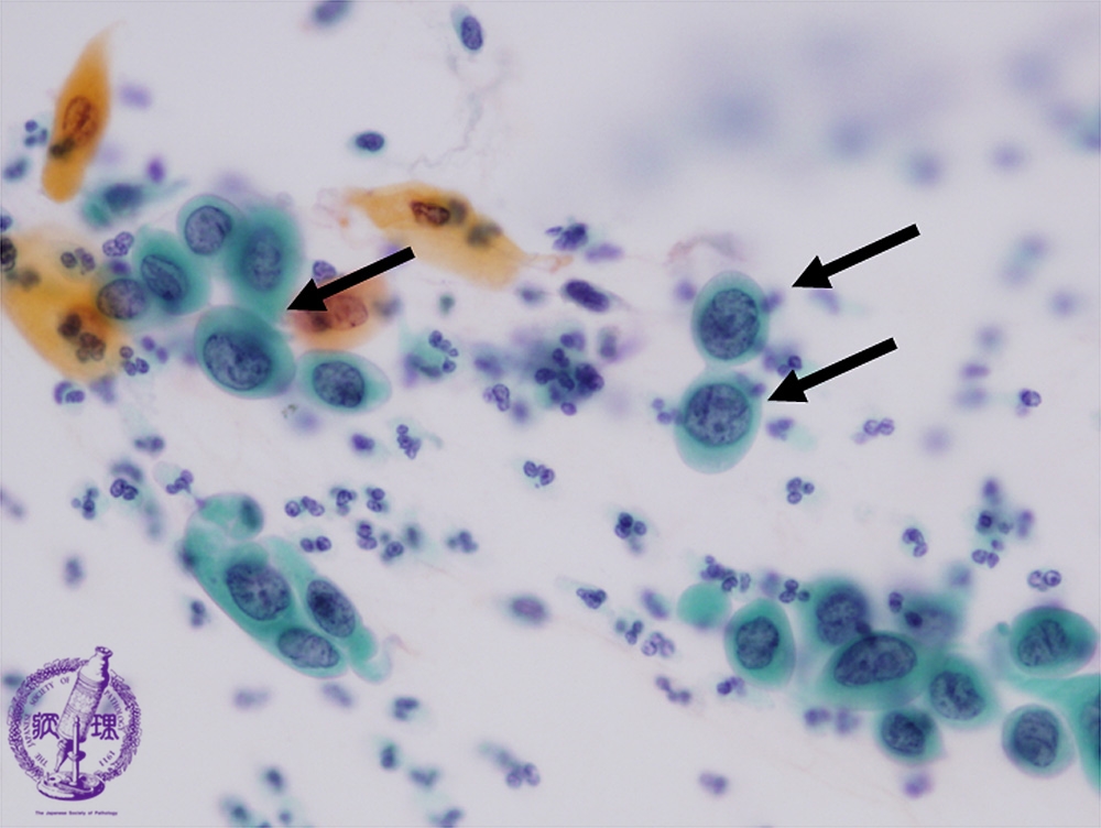
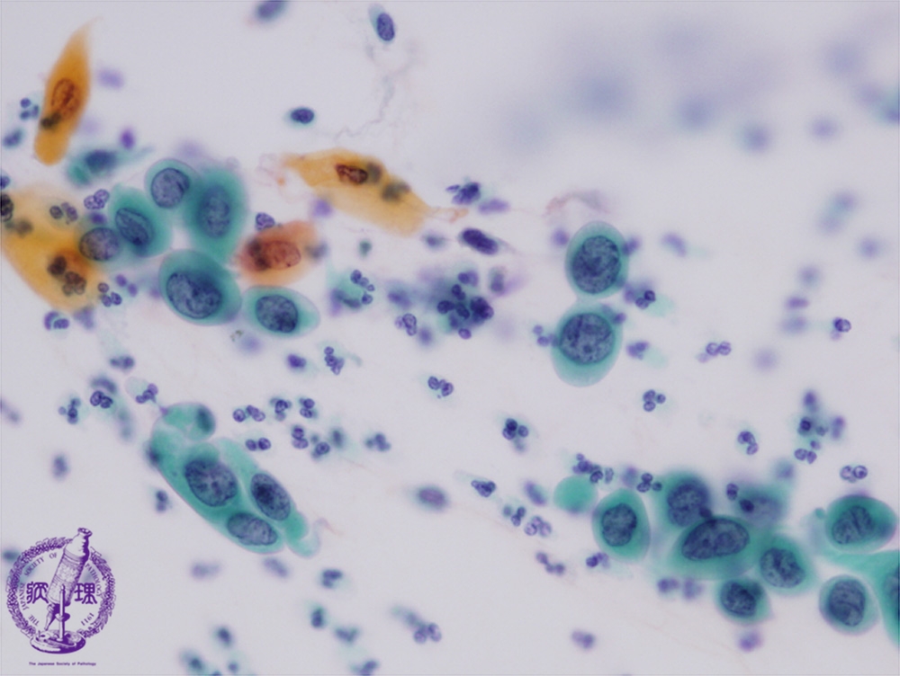
- (2)Vaginal smear cytology(carcinoma in situ)
Carcinoma in situ (Papnicolaou staining, high magnification).The background is clear, not necrotic. The tumor cells have large nuclei, high N/C ratio, and scant cytoplasm. The chromatin is increased, but the nuclear shape is almost round.
Click the image to see the enlarged image.













