- 23.Cytology
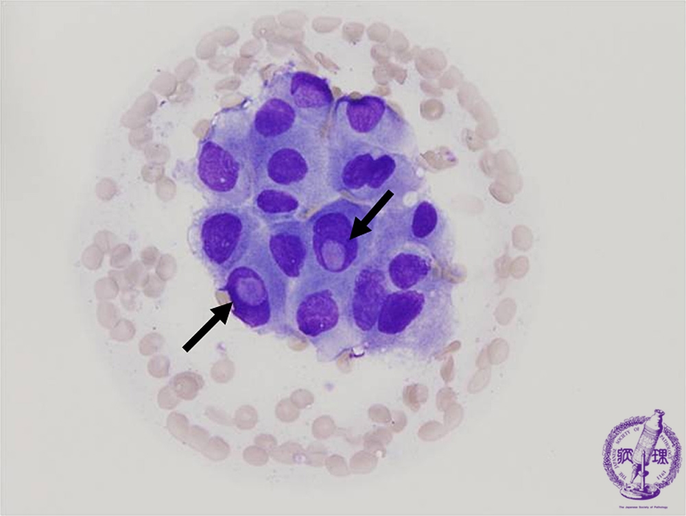
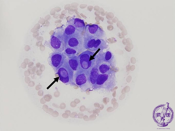
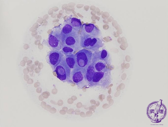
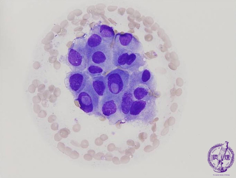
- (4)Aspiration biopsy cytology of thyroid gland (papillary carcinoma)
The nuclei of cancer cells showed ground-glass appearance and the intranuclear cytoplasmic inclusions (arrow). (Giemsa stain)
Click the image to see the enlarged image.
The nuclei of cancer cells showed ground-glass appearance and the intranuclear cytoplasmic inclusions (arrow). (Giemsa stain)
Click the image to see the enlarged image.