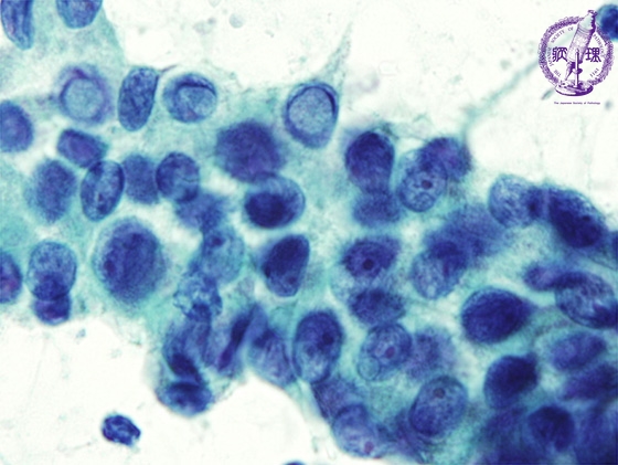
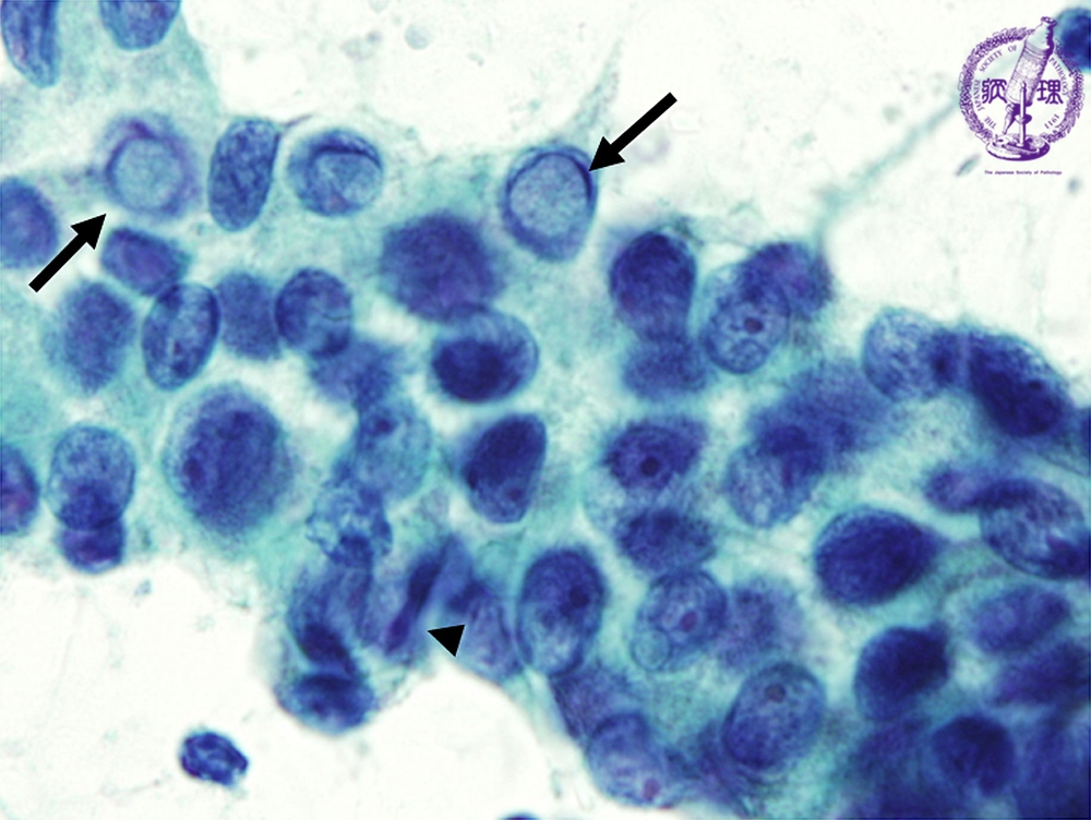
- 23.Cytology
- (4)Aspiration biopsy cytology of thyroid gland (papillary carcinoma)
The nuclear abnormalities, ground glass appearance, and intranuclear cytoplasmic inclusion (arrow), nuclear groove (arrow head), are very specific for papillary carcinoma of the thyroid gland
Click the image to see the enlarged image.












