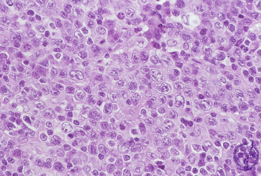
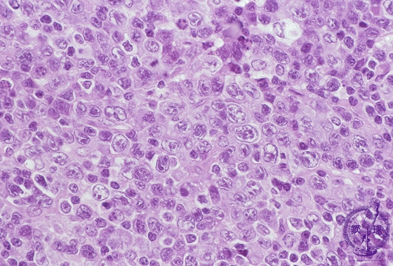
Microscopic image (H&E, high power view): A diffuse proliferation of large, exceedingly atypical tumor cells effaces the underlying lymph node follicular architecture.

Click the image to see the enlarged image.

  • There is no guidance by arrows.