- 2.Lymph node
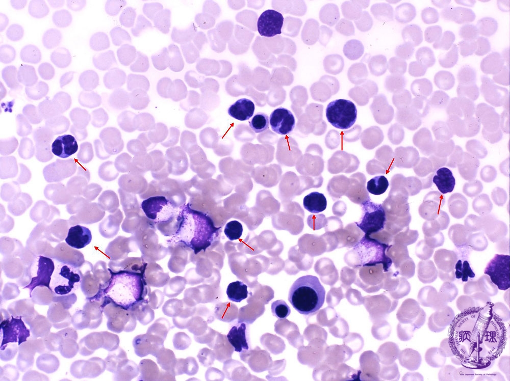
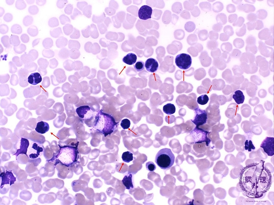
- (8)Adult T-cell leukemia
Microscopic image (peripheral blood smear: Giemsa staining): Bone marrow aspirate and peripheral blood smears show neoplastic cells whose nuclei show numerous notches which has led to the designation gflower cellsh (arrows). The latter cells are typically observed only in smear (cytological) specimens.
Click the image to see the enlarged image.










