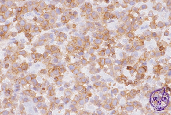
Microscopic image (CD3 immunostaining): Tumor cells are positive for CD3, indicating a T-cell origin. An important diagnostic clue is the confirmation of HTLV-1 infection.

Click the image to see the enlarged image.

  • There is no guidance by arrows.