- 3.Cardiovascular system
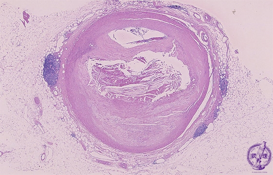
- ★(2)Myocardial infarction (acute)
Microscopic view (HE, low power view): There is severe stenosis of the coronary artery due to atherosclerosis demonstrated here by eccentric intimal wall thickening and extracellular lipid deposition.
Click the image to see the enlarged image.


















