- 3.Cardiovascular system
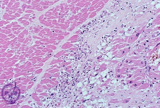
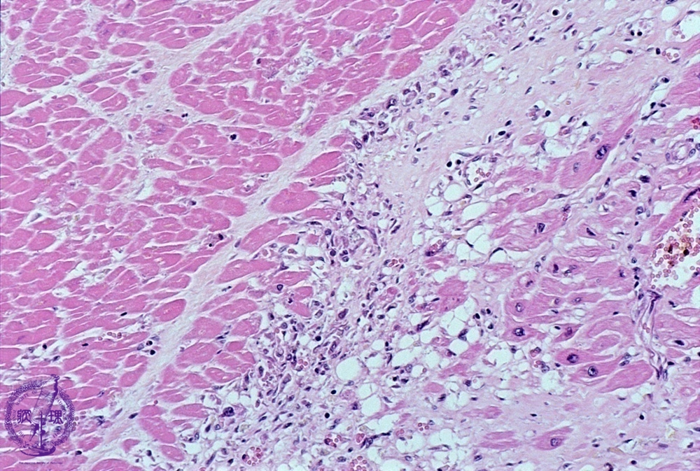
- ★(2)Myocardial infarction (acute)
Microscopic image (HE, low power): Healing infarct at 3 weeks. The infarcted area comprises necrotic myocytes with karyorrhectic debris, capillary and fibroblastic proliferation and a lymphohistiocytic infiltrate.
Click the image to see the enlarged image.


















