- 3.Cardiovascular system
- ★(2)Myocardial infarction (acute)
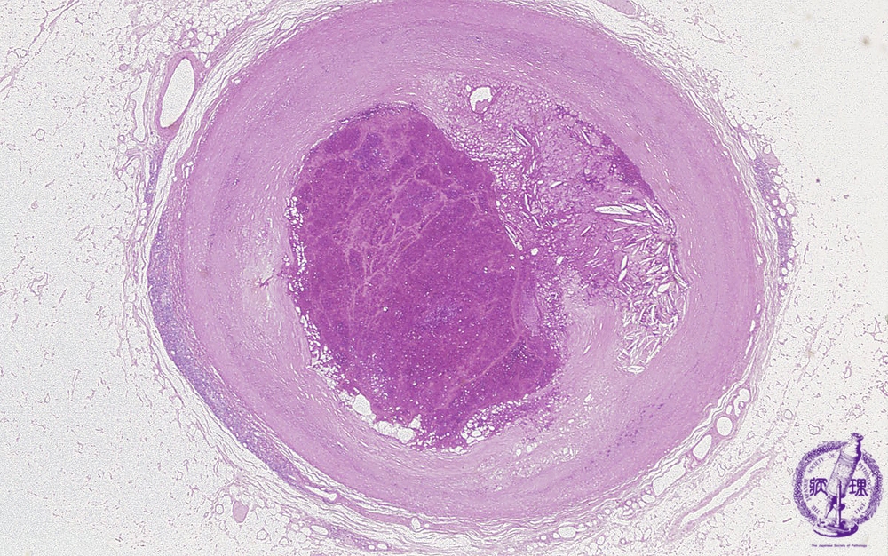
Microscopic image (HE, low power view): Atherosclerotic plaque rupture and thrombus formation within the coronary artery.
Click the image to see the enlarged image.
Microscopic image (HE, low power view): Atherosclerotic plaque rupture and thrombus formation within the coronary artery.
Click the image to see the enlarged image.