- 3.Cardiovascular system
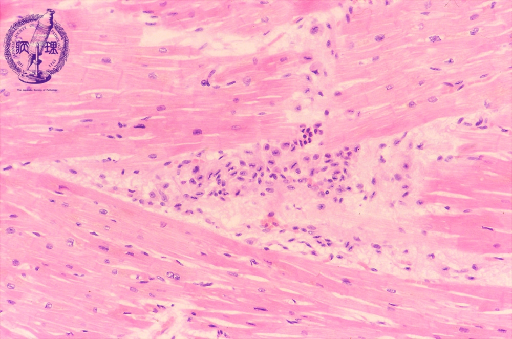
- ★(5)Valvular disease (acute rheumatic fever)
Microscopic image (HE, low power view): The so-called Aschoff nodule, which is a classic finding in rheumatic fever, comprises a nodular inflammatory cell infiltrate within the myocardium and is composed of T cells and activated macrophages.
Click the image to see the enlarged image.














