- 3.Cardiovascular system
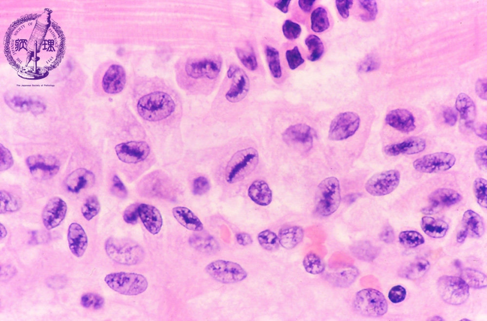
- ★(5)Valvular disease (acute rheumatic fever)
Microscopic image (HE, high power view): The activated macrophages within Aschoff nodules have abundant cytoplasm and nuclei with central condensed linear or ribbon-like chromatin which lends a “caterpillar appearance”.
Click the image to see the enlarged image.














