- 3.Cardiovascular system
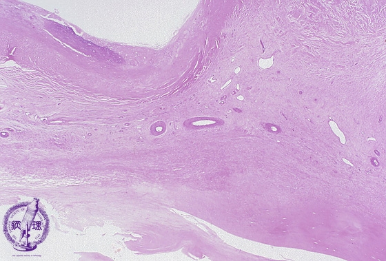
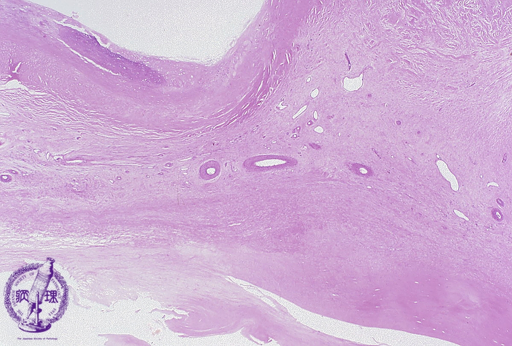
- ★(5) Valvular disease(rheumatic)
Microscopic image (HE, low power view): The blood vessel is markedly thickened and hyalinized.
Click the image to see the enlarged image.
Microscopic image (HE, low power view): The blood vessel is markedly thickened and hyalinized.
Click the image to see the enlarged image.