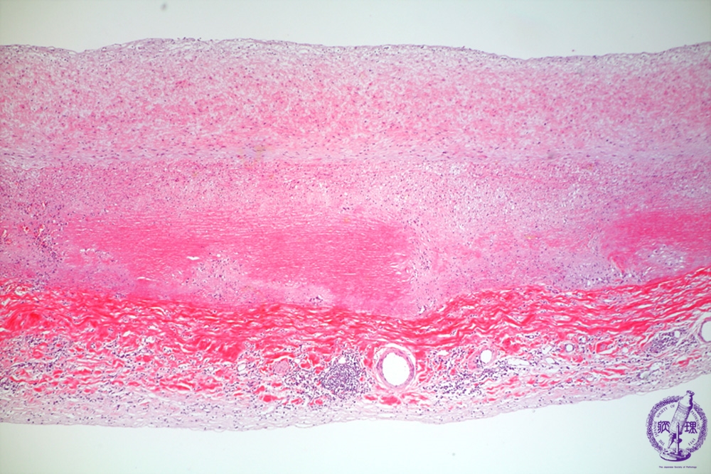
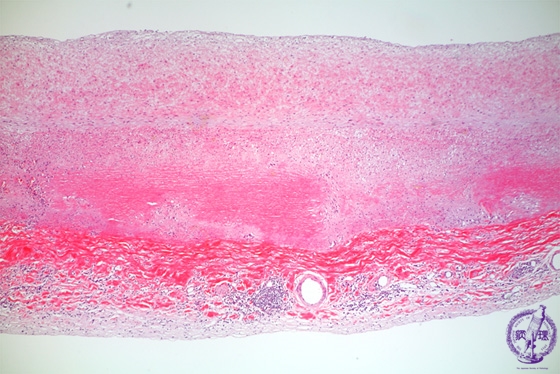
- 3.Cardiovascular system
- (13)Takayasu arteritis
Microscopic image (HE, low power view): Prominent intimal and adventitial fibrous thickening and scarring.
Click the image to see the enlarged image.
Microscopic image (HE, low power view): Prominent intimal and adventitial fibrous thickening and scarring.
Click the image to see the enlarged image.