- 3.Cardiovascular system
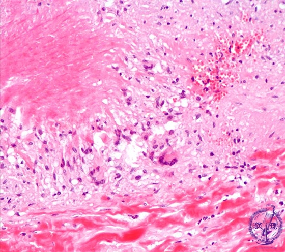
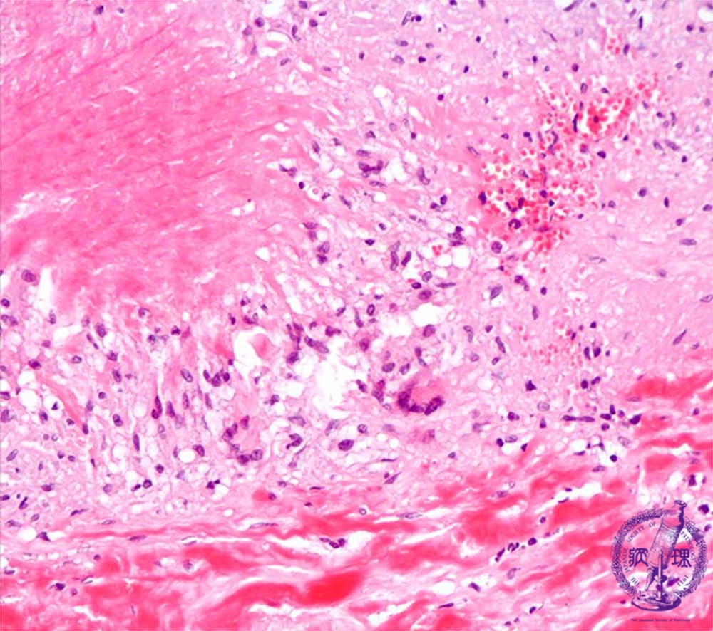
- (13)Takayasu arteritis
Microscopic image (HE, high power view): There is necrotizing, granulomatous inflammation composed of a Langhans giant cell infiltrate and central necrosis at the rupture site of the elastic lamellae.
Click the image to see the enlarged image.














