- 3.Cardiovascular system
- (13)Takayasu arteritis
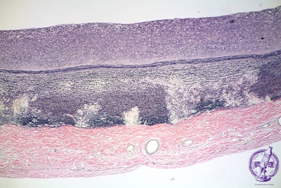
Microscopic image (EVG stain, low power view): There is disruption of the elastic lamellae in the outer layer of the media (within the circle).
Click the image to see the enlarged image.
Microscopic image (EVG stain, low power view): There is disruption of the elastic lamellae in the outer layer of the media (within the circle).
Click the image to see the enlarged image.