- 4.Upper airway tract and larynx
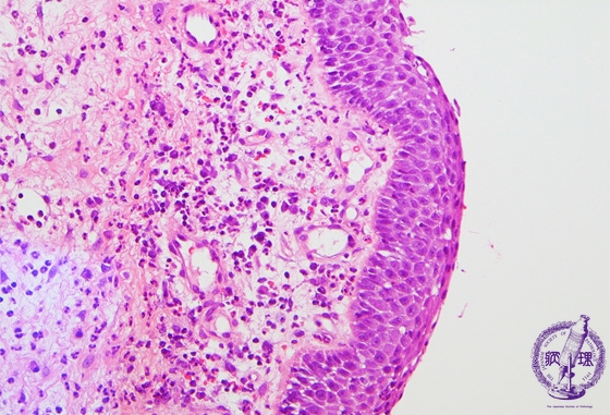
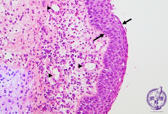
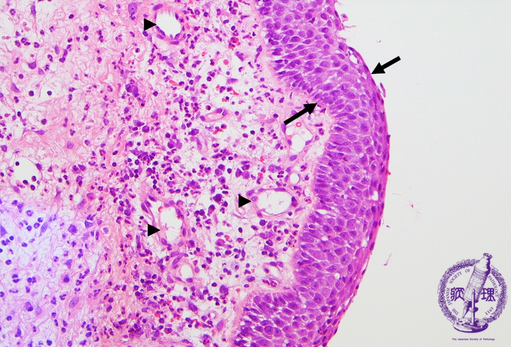
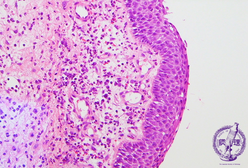
- ★(1)(Allergic) rhinitis
Microscopic view (intermediate power view): Ciliated columnar epithelium may show squamous metaplasia (arrow). Infiltration by eosinophils, mast cells, lymphocytes and plasma cells, and dilatation of capillary vessels are detected (arrow head).
Click the image to see the enlarged image.














