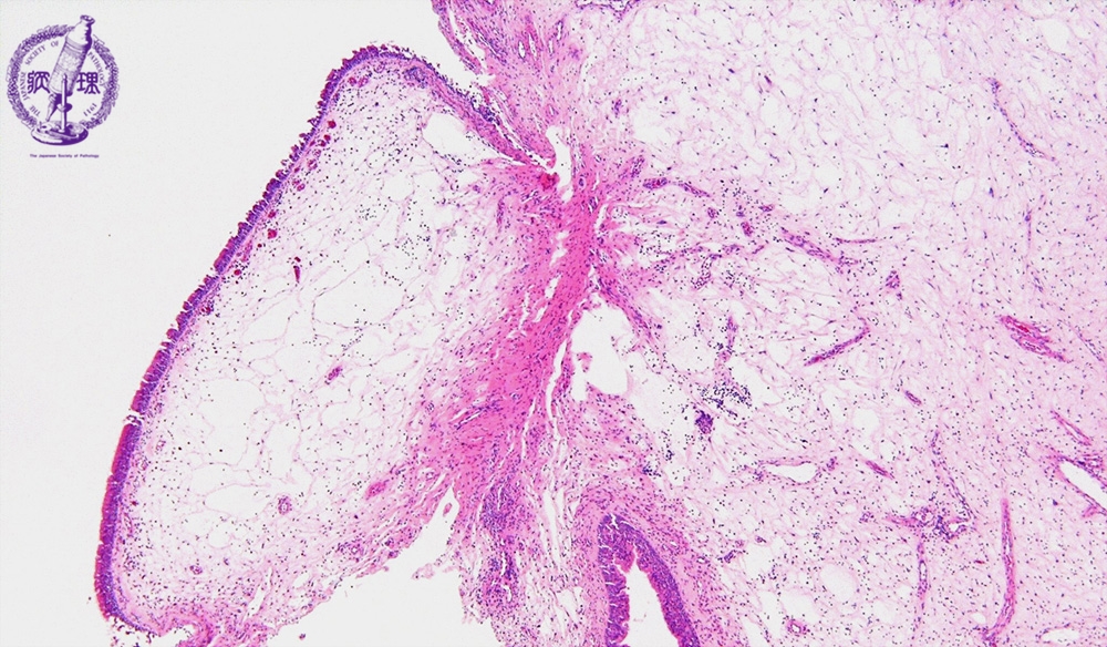
Microscopic view (intermediate power view): Ciliated columnar epithelium lines the mucosal surface, and marked edema and chronic inflammation are observed in the stroma.

Click the image to see the enlarged image.

  • There is no guidance by arrows.