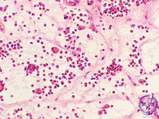
Microscopic view (high power view): Inflammatory cells are predominantly composed of eosinophils, and marked stromal edema is observed.

Click the image to see the enlarged image.

  • There is no guidance by arrows.