- 4.Upper airway tract and larynx
- (2)Wegenerfs granulomatosis
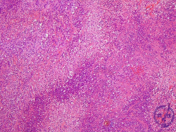
Microscopic view (low power view): The typical histological finding is a necrotizing vasculitis with necrotic granulomatosis. Geographic necrosis, comprising necrotic basophilic tissue and neutrophils, is remarkable in this case which also shows marked inflammation.
Click the image to see the enlarged image.










