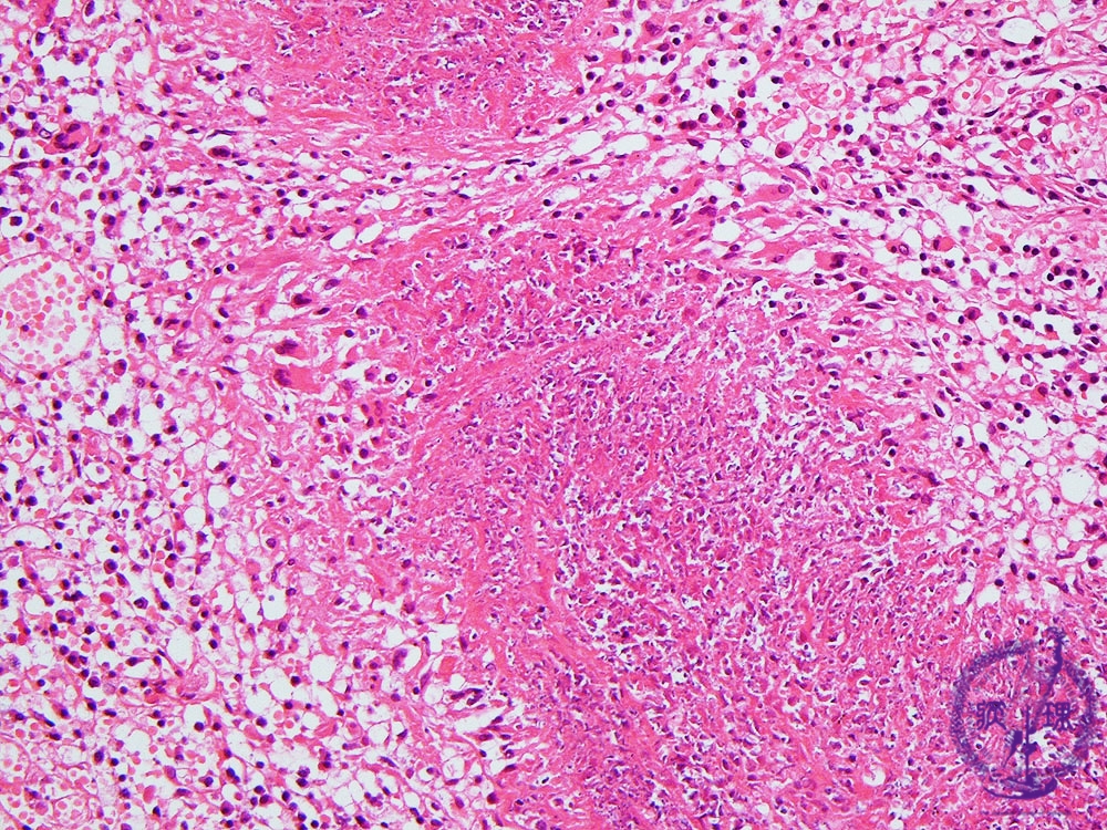
Microscopic view (intermediate power view): The typical histopathological finding is necrotizing granulomatosis demonstrated by necrotizing vasculitis and central necrosis with associated histiocytes, lymphocytes and multinucleated cells.

Click the image to see the enlarged image.

  • There is no guidance by arrows.