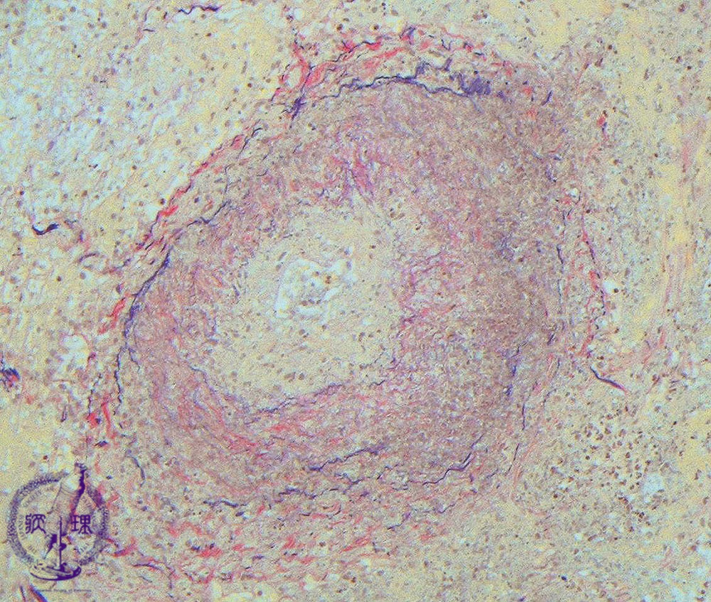
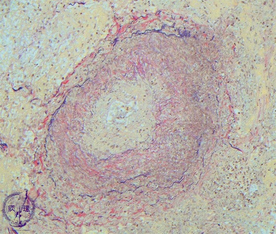
Microscopic view (intermediate power view; EVG staining): EVG stainingdemonstrates the residue of elastic fibers, suggesting necrotizing vasculitis.

Click the image to see the enlarged image.

  • There is no guidance by arrows.