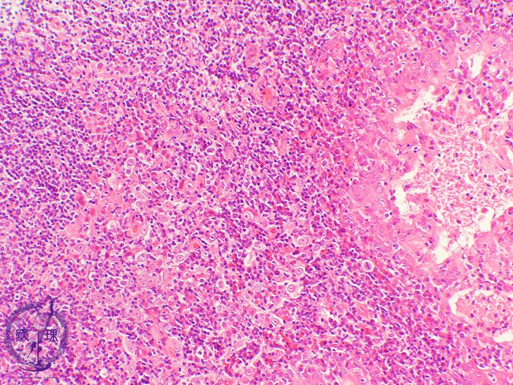
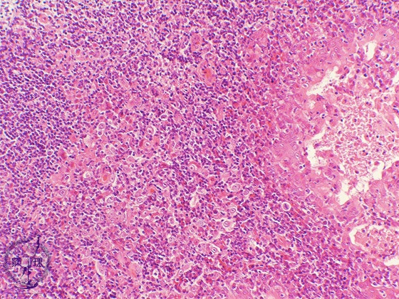
Microscopic view (intermediate power view): The most common subtype of nasopharyngeal carcinoma, undifferentiated carcinoma, is also known as elymphoepitheliomaf since there are abundant lymphocytes surrounding the carcinoma cells.

Click the image to see the enlarged image.

  • There is no guidance by arrows.