- 4.Upper airway tract and larynx
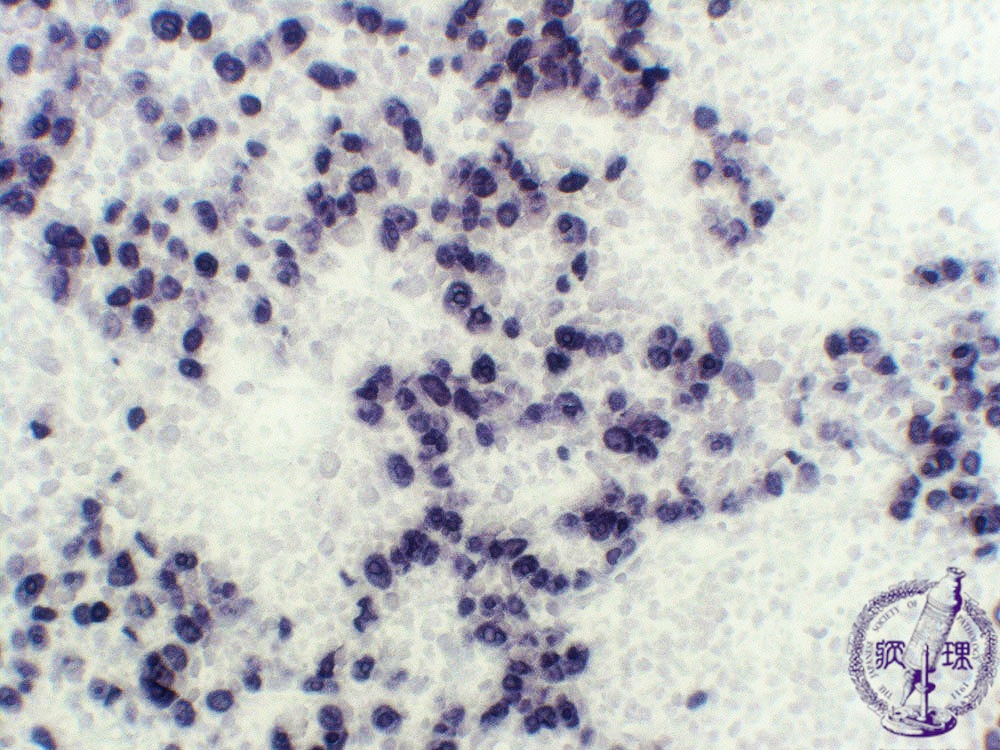
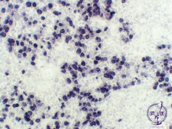
- ★(4)Nasopharyngeal carcinoma (lymphoepithelioma)
Microscopic view (high power view; in situ hybridization): In situ hybridization is a method of localizing and detecting specific DNA and mRNA sequences by hybridizing the complementary nucleic acid strand known as a nucleotide probe to the sequence of interest when it is present in tissue sections. This method is used to detect EBER(Epstein-Barr encoded RNAs)in cases of nasopharyngeal carcinoma (nucleus shows blue staining). Epstein-Barr virus infection is more common in non-keratinizing than in keratinizing nasopharyngeal carcinoma.
Click the image to see the enlarged image.











