- 4.Upper airway tract and larynx
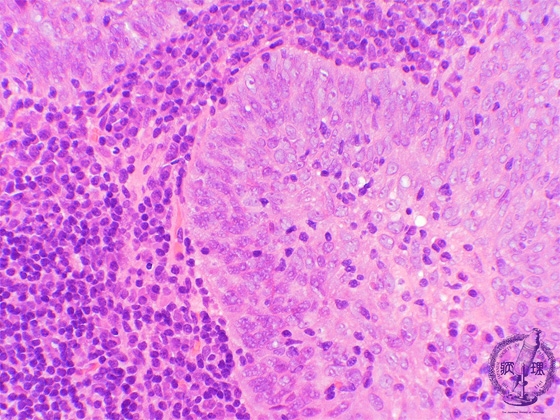
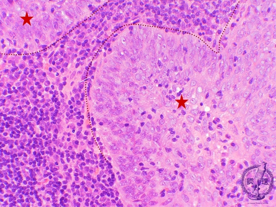
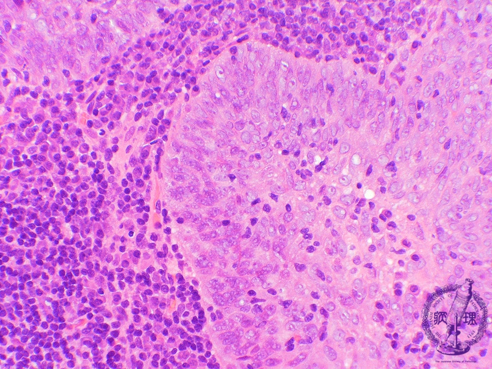
- ★(4)Nasopharyngeal carcinoma (lymphoepithelioma)
e tumor cells in this example show better differentiation as compared to the tumor cells in undifferentiated carcinoma. The tumor cells are invasive, show sheet-like proliferation and form large alveolar lesions (asterisk). Central nucleoli are not prominent and show similar features of squamous cell carcinoma.
Click the image to see the enlarged image.














