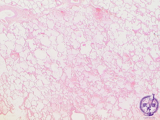
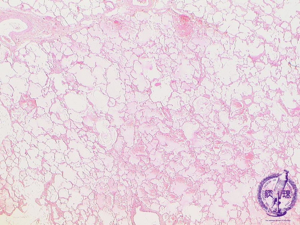
Microscopic view (HE stain, low power view): Alveoli are filled with transudate. There is acute venous congestion and lymph vascular dilatation within the lobular septa.

Click the image to see the enlarged image.

  • There is no guidance by arrows.