- 5.Lung, Pleura
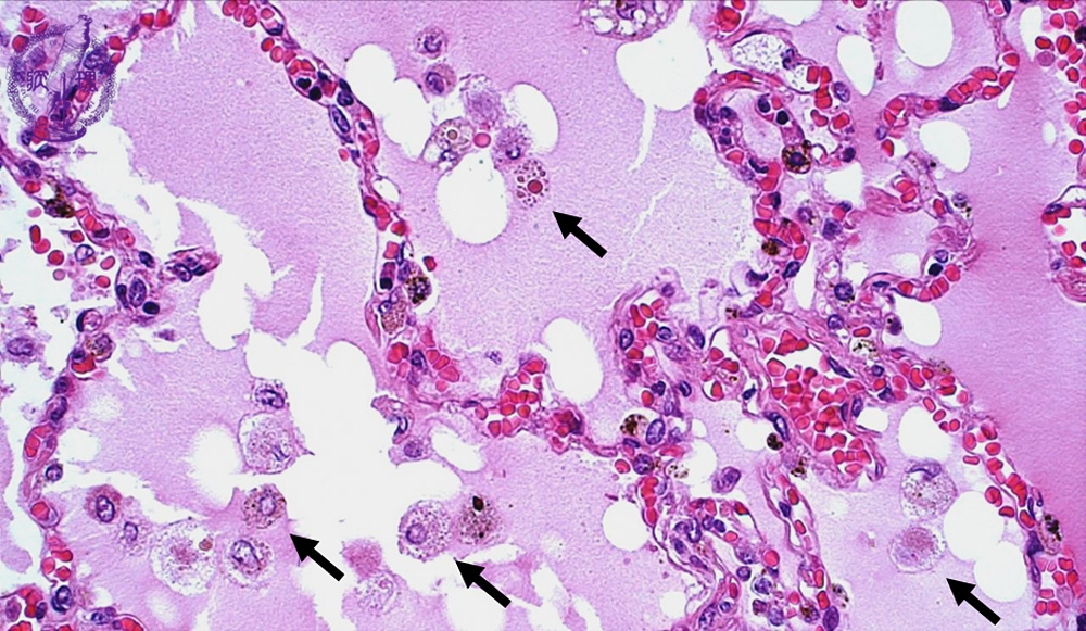
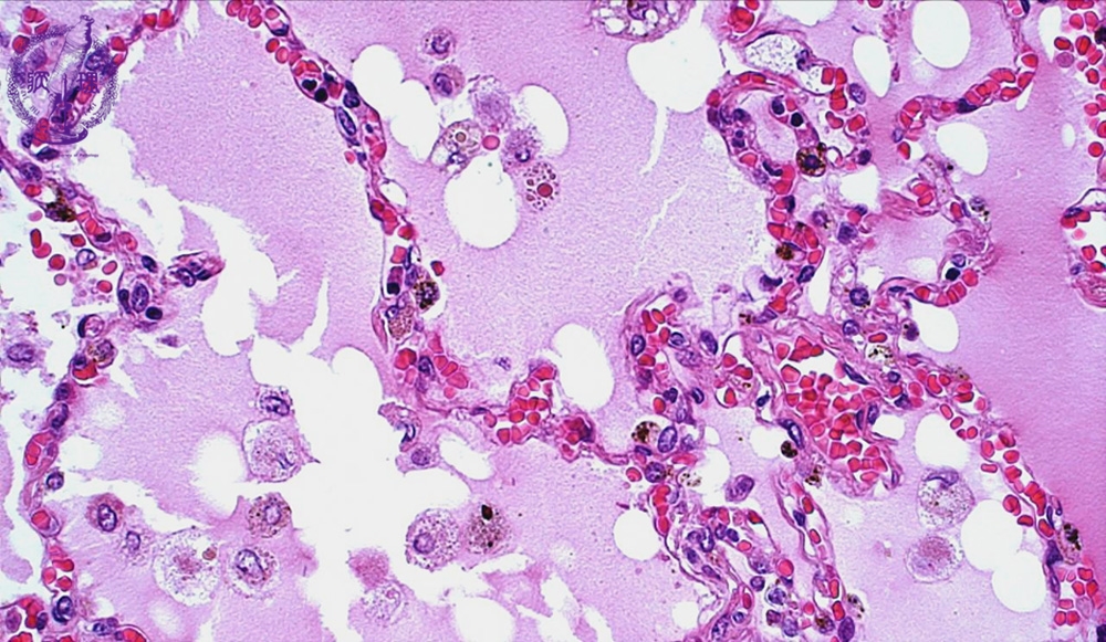
- ★(1)Pulmonary edema
Microscopic view (HE stain, high power view): In this especially congested area, interalveolar septa show capillaries packed with red blood cells. There are many macrophages (arrow), which phagocytize the leaking plasma transudate and red blood cells.
Click the image to see the enlarged image.














