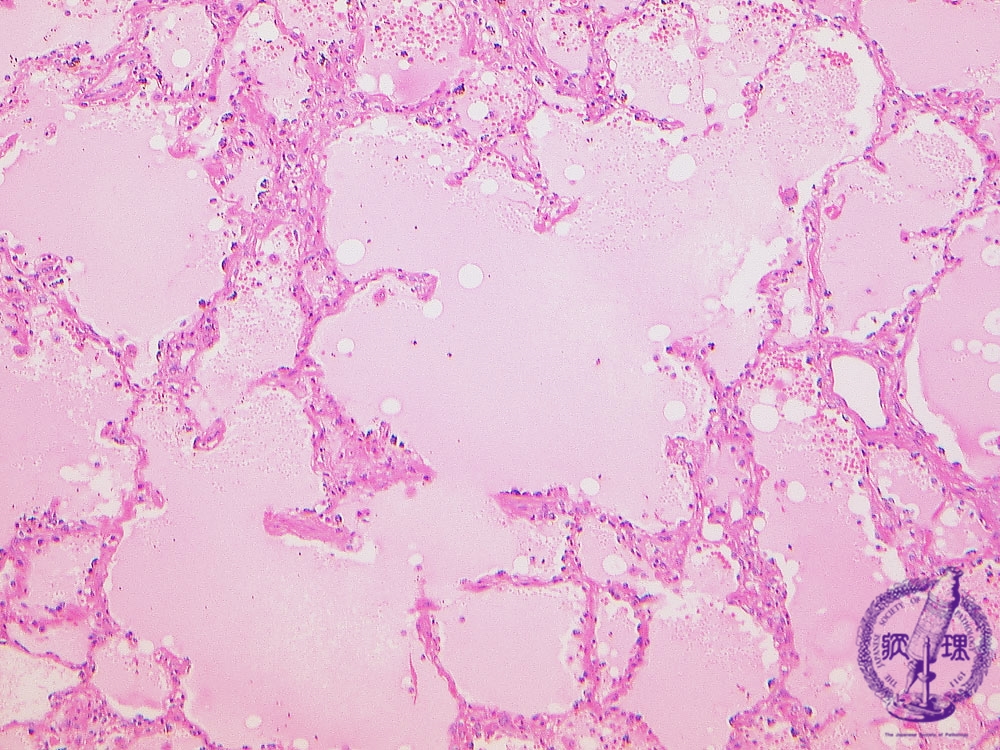
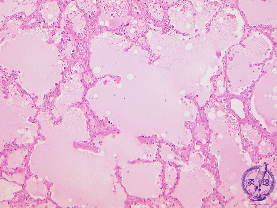
Microscopic view (HE stain, high power view): An area with marked edema. The alveoli are filled with fluid (faintly pink material). Vacuoles are an artifact.

Click the image to see the enlarged image.

  • There is no guidance by arrows.