- 5.Lung, Pleura
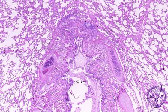
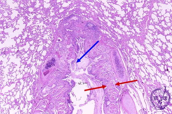
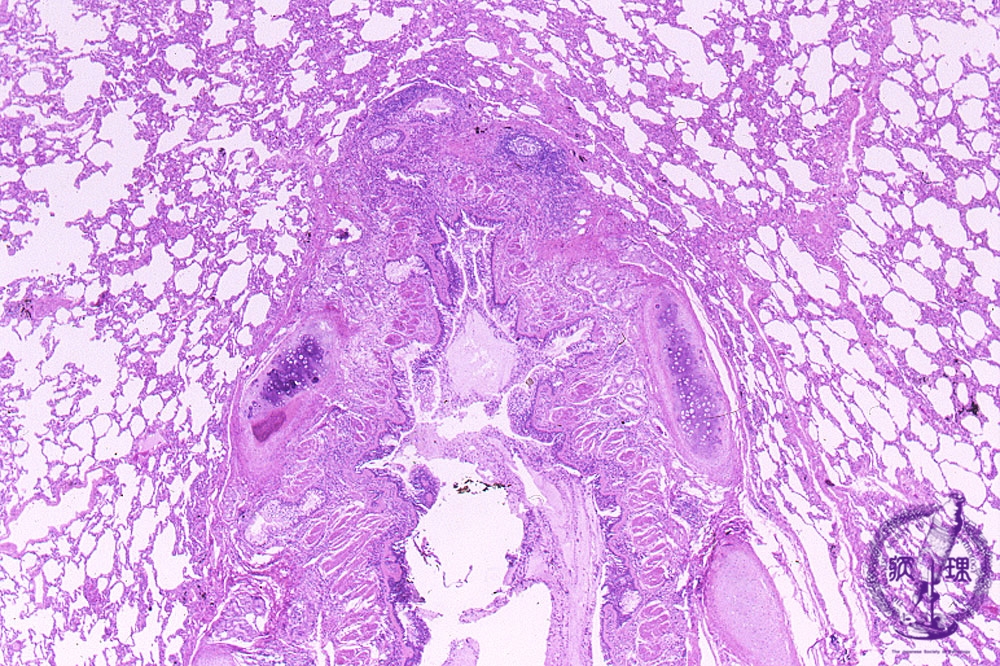
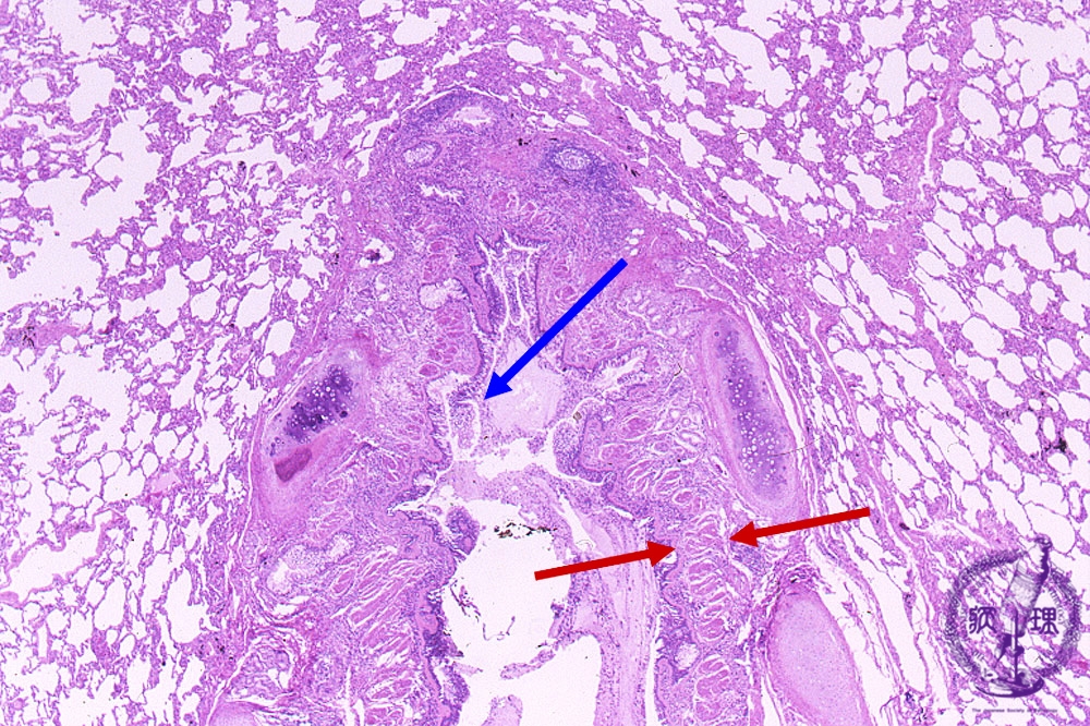
- (6)Bronchial asthma
Microscopic view (HE stain, low power view): Bronchial wall smooth muscle (red arrow) proliferates with thickening of the entire bronchial wall. Mucus retention (blue arrow) is noted within the bronchial lumen.
Click the image to see the enlarged image.














