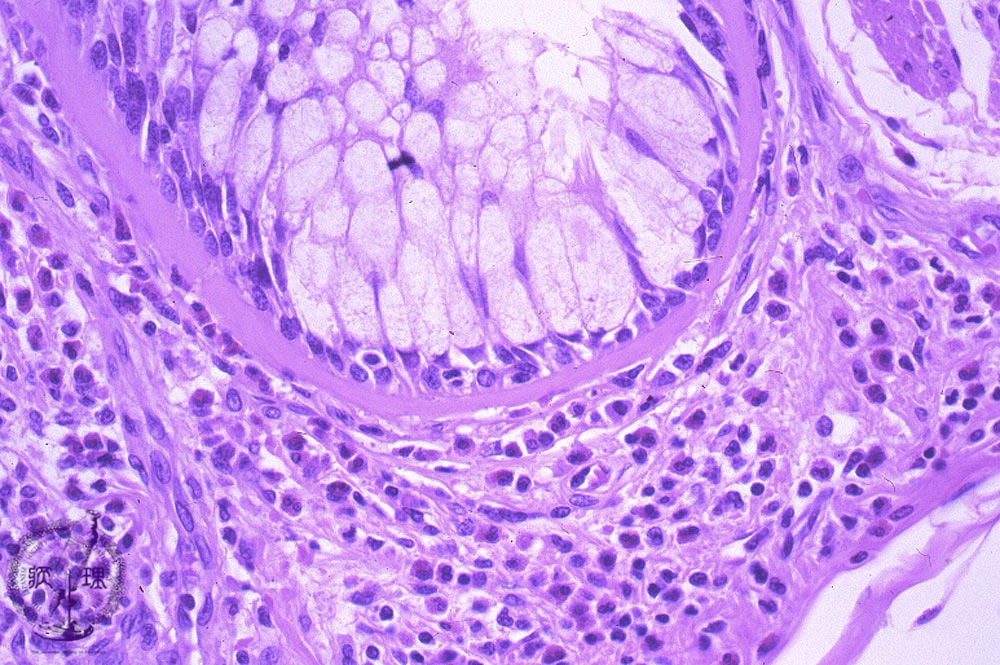
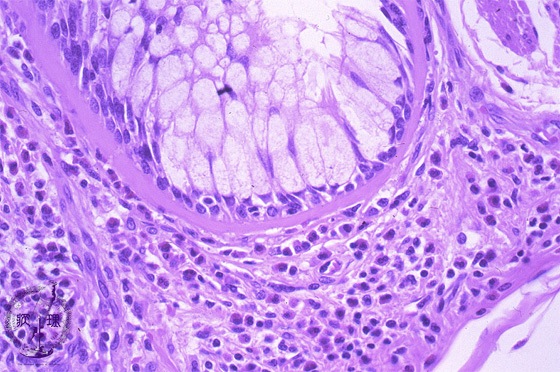
Microscopic view (HE stain, high power view): The bronchial epithelium shows goblet cell metaplasia, basement membrane thickening, and a submucosal cellular infiltrate including eosinophils.

Click the image to see the enlarged image.

  • There is no guidance by arrows.