- 5.Lung, Pleura
- (6)Bronchial asthma >
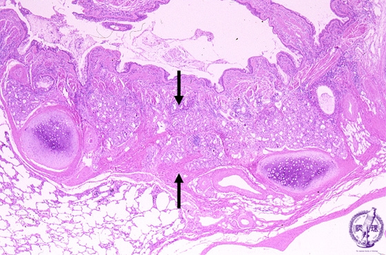
Microscopic view (HE stain, low power view): Bronchial glands are hyperplastic.
Click the image to see the enlarged image.
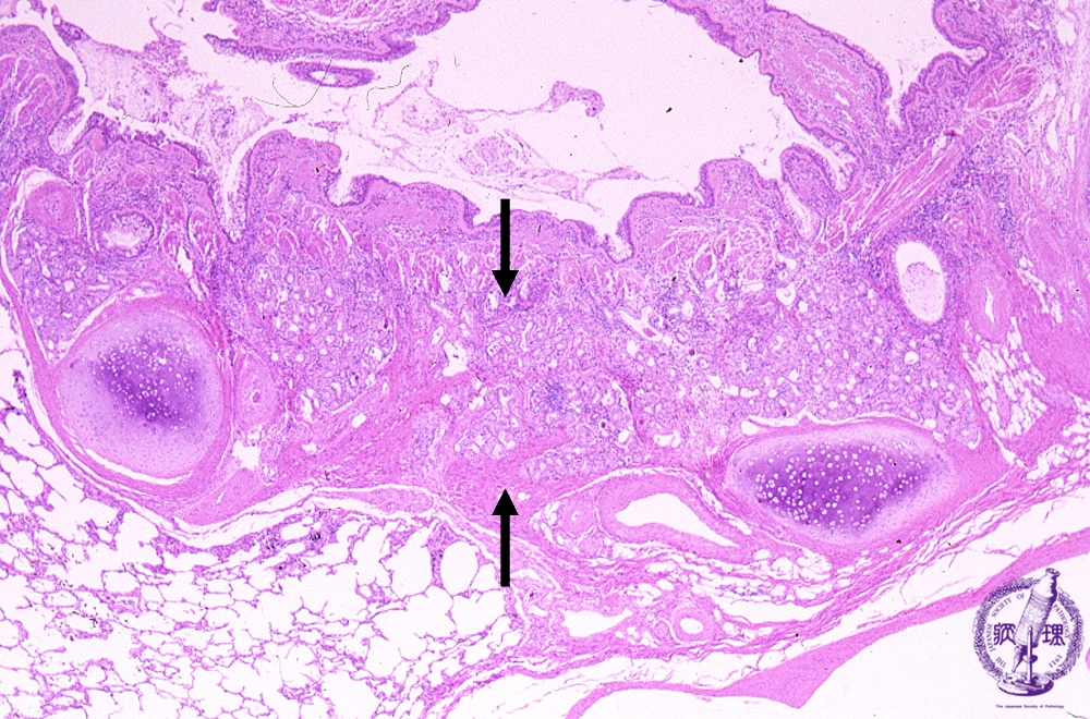
Microscopic view (HE stain, low power view): Bronchial glands are hyperplastic.
Click the image to see the enlarged image.