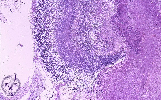
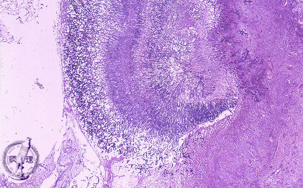
Microscopic view (HE stain, low power view): Hematoxylin stained aspergillus hyphae are septate, 3-11um in diameter and demonstrate Y-shaped branching at a roughly 45 degree angle, characteristics which help differentiate from other fungi.

Click the image to see the enlarged image.

  • There is no guidance by arrows.