- 5.Lung, Pleura
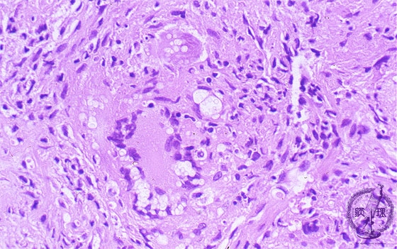
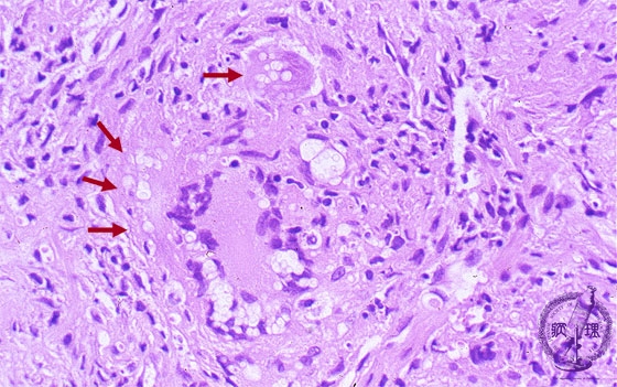
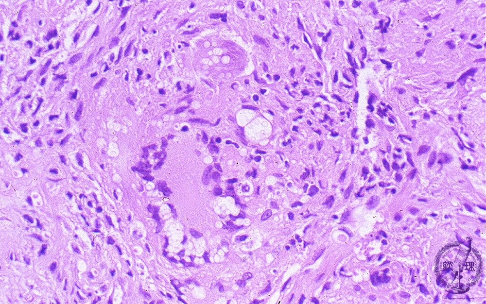
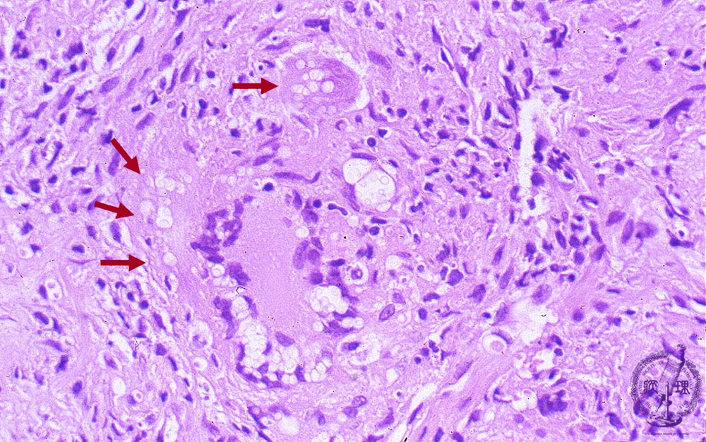
- ★(9)Fungal pneumonia (Cryptococcosis)
Microscopic view (HE stain, high power view): Cryptococcosis is basically a granulomatous lesion. Cryptococci may only be identified as non-staining foci on HE because this stain does not highlight the organism.
Click the image to see the enlarged image.















