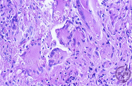
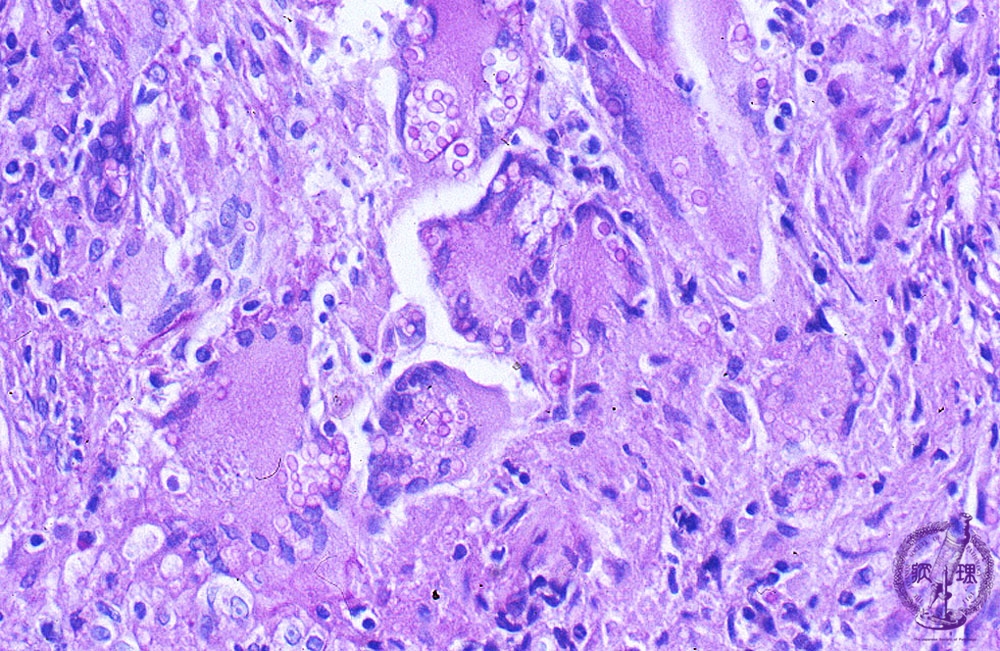
- 5.Lung, Pleura
- ★(9)Fungal pneumonia (Cryptococcosis)
Microscopic view (PAS stain, high power view): The mucopolysaccharide membrane of Cryptococcus is red-violet on PAS stain. Unlike to aspergillus, Cryptococcus is a round, yeast-like fungus.
Click the image to see the enlarged image.















