- 5.Lung, Pleura
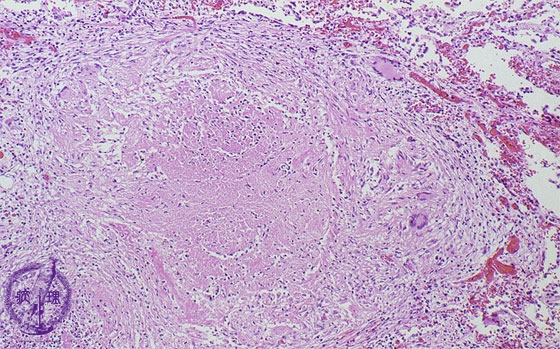
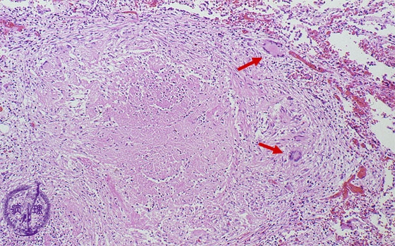
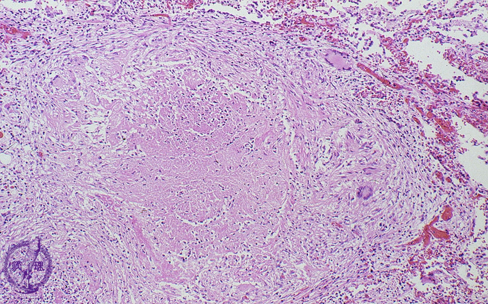
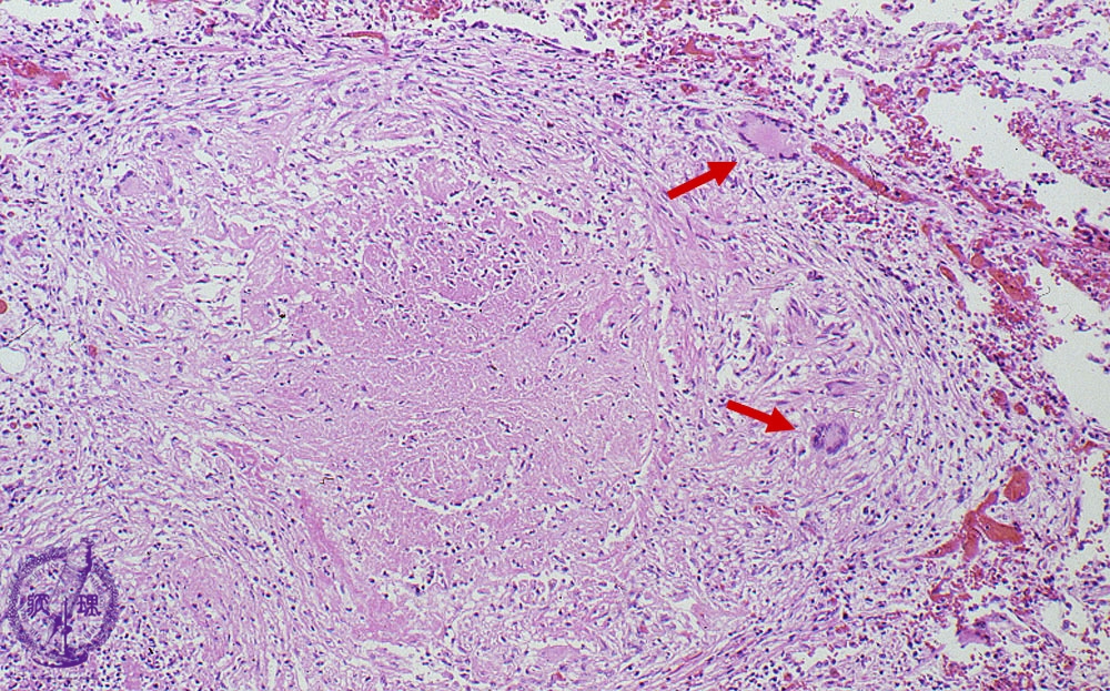
- (11)Pulmonary tuberculosis
Microscopic view (HE stain, Middle-power-view): Histological views of tuberculous nodule. At the center is a granuloma comprising caseous necrosis surrounded by epithelioid cells including Langhans-type giant cells (arrow).
Click the image to see the enlarged image.
















