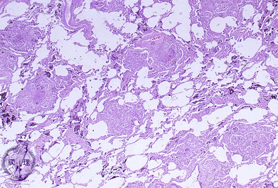
Microscopic view (HE stain, low power view): Disease incorporates uniform granulomatous lesions and spreads via hematogenous dissemination.

Click the image to see the enlarged image.

  • There is no guidance by arrows.