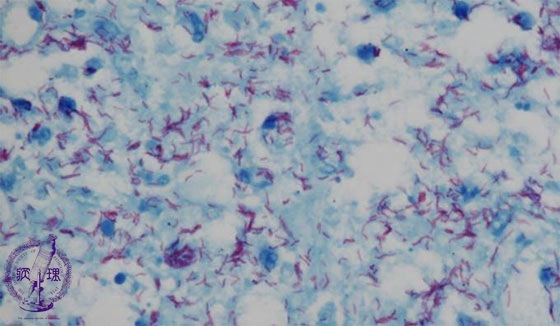
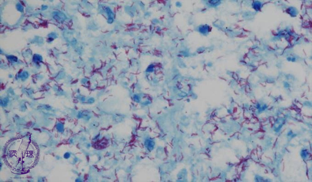
Microscopic view (Ziehl-Neelsen stain, high power view): Acid-fast-stain (Ziehl-Neelsen stain) can selectively highlight mycobacterium. A red stained mycobacterium (tubercle bacillus) is seen.

Click the image to see the enlarged image.

  • There is no guidance by arrows.