- 9.Small intestine, Large intestine
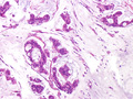
- ★(9)Carcinoma of the colon (adenocarcinoma, carcinoma in adenoma)
Gross appearance: Most cases of colorectal carcinoma are localized and ulcerating (Borrmann type 2).
Click the image to see the enlarged image.
Gross appearance: Most cases of colorectal carcinoma are localized and ulcerating (Borrmann type 2).
Click the image to see the enlarged image.