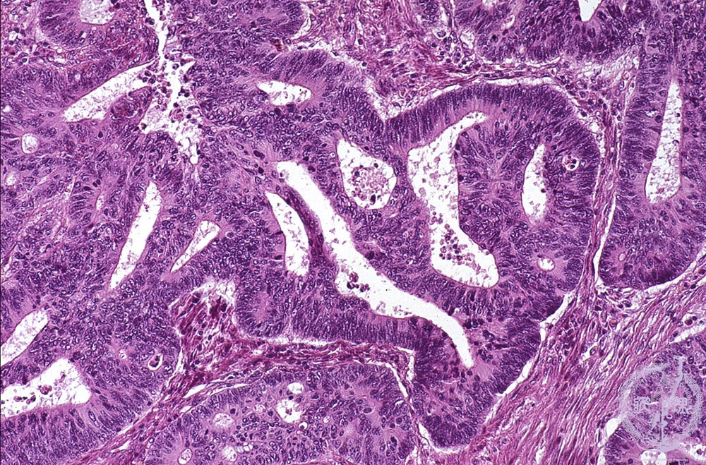
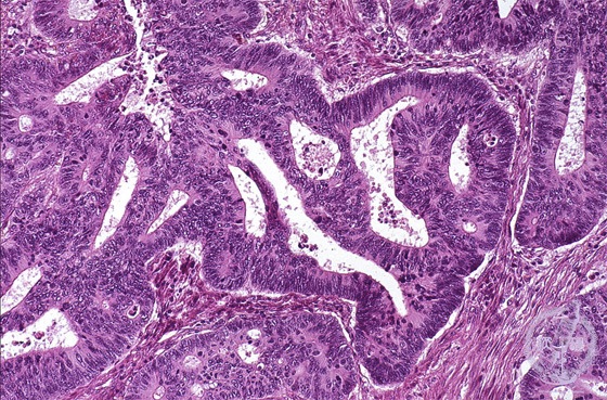
Microscopic view (H&E stain, medium power): Tubular adenocarcinoma is composed of small to medium sized tubules as well as cribriform growth (moderately differentiated).

Click the image to see the enlarged image.

  • There is no guidance by arrows.